Vax Injury Evidence Series: Case Study #1: Two Teens in CT Found Dead at Home
Case study details autopsy results
Imagine the scene: a young man, not even 20, suddenly experiences a crushing pain in his chest. He struggles to catch his breath and feels dizzy, as if he might pass out. He tries to call for help, but his voice is weak. His friends find him and call for an ambulance, but by the time the paramedics arrive, he has already lost consciousness - he was gone.
These are real stories of vaccine injuries.
Many of the haters on Team Apocalypse dismiss V-safe (the new registered vaccine injury database showing 1 in 800 recipients of shots have injuries). They scoff at the original reporting system VAERS - even though the CDC itself quotes VAERS all the time!
It's insulting but if that's how they want to play: we have 2700+ Vaccine Case Studies from published & peer-reviewed journals detailing vax injuries & deaths.
Let’s start going through some of these.
Case Study #1: Two boys (12 & 18) found dead at home in Connecticut post-vax.
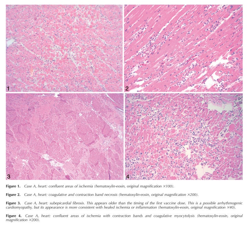
Gill et al - A case study of two adolescent patients in Connecticut, US who suffered from cardiac problems after receiving the second dose of the COVID-19 vaccine. Both patients were male (12-18 years old) and died 3-4 days after receiving the vaccine. https://meridian.allenpress.com/aplm/article/146/8/925/477788/Autopsy-Histopathologic-Cardiac-Findings-in-2
Boy A complained of a headache and gastric upset but felt better by postvaccine day 3. There was no history of prior medicals.
Boy B had no complaints, prior health issues, or prior SARS-CoV-2 infection. Neither boy complained of fever, chest pain, palpitations, or dyspnea.
The report on both boys who died after receiving the second Pfizer-BioNTech COVID-19 vaccine showed that the cause of death was myocarditis, a heart inflammation. The autopsy found unique heart tissue changes.
The cardiac injury pattern is similar to what is seen in patients with Takotsubo, toxic, or stress cardiomyopathy - or "broken heart syndrome.”
Both teenage boys had similar clinical presentations with no obvious cardiac symptoms. Their histopathology did not demonstrate a typical myocarditis. In those instances, one sees lymphocytic (or giant cell) infiltrates with adjacent myocyte necrosis; changes such as hypereosinophilic myocytes and contraction bands are absent. In these 2 postvaccination instances, there are areas of contraction bands and hypereosinophilic myocytes distinct from the inflammation. This injury pattern is instead similar to what is seen in the myocardium of patients who are clinically diagnosed with Takotsubo, toxic, or stress cardiomyopathy, which is a temporary myocardial injury that can develop in patients with extreme physical, chemical, or sometimes emotional stressors.24–31
This is a catecholamine-mediated ischemic process that may be due to direct myocyte injury from elevated catecholamines.
In other words, the acute cardiac changes in these 2 boys may be the result of an overly exuberant immune response, similar to cytokine storms in multi-system inflammatory syndrome
Evidence for Myocarditis in Adolescents and Young Adults:
Here I include a study from Tracy Hoeg, a truly brave individual fighting against terrible vax mandates from a scientific perspective. Her study notes that rates of myocarditis are 6 to 28x larger than if they had just gotten myocardities.
Was asked to review myo rates post vax vs post covid
Using this Nordic study of 23 million
For 16-24 yo males, post vax myo rates were 6 (pfizer-pfizer) to 28 (pfizer-moderna) x HIGHER than post covid Males 12-15 had 0 post covid myo cases
https://jamanetwork.com/journals/jamacardiology/fullarticle/2791253
Another excellent summary of the impacts on young men was from a study was recently published by a group of esteemed scientists.
They concluded
In 2022, students at North American universities with third-dose COVID-19 vaccine mandates risk disenrolment if unvaccinated. To assess the appropriateness of booster mandates in this age group, we combine empirical risk-benefit assessment and ethical analysis. To prevent one COVID-19 hospitalisation over a 6-month period, we estimate that 31 207–42 836 young adults aged 18–29 years must receive a third mRNA vaccine. Booster mandates in young adults are expected to cause a net harm: per COVID-19 hospitalisation prevented, we anticipate at least 18.5 serious adverse events from mRNA vaccines, including 1.5–4.6 booster-associated myopericarditis cases in males (typically requiring hospitalisation). We also anticipate 1430–4626 cases of grade ≥3 reactogenicity interfering with daily activities (although typically not requiring hospitalisation). University booster mandates are unethical because they: (1) are not based on an updated (Omicron era) stratified risk-benefit assessment for this age group; (2) may result in a net harm to healthy young adults; (3) are not proportionate: expected harms are not outweighed by public health benefits given modest and transient effectiveness of vaccines against transmission; (4) violate the reciprocity principle because serious vaccine-related harms are not reliably compensated due to gaps in vaccine injury schemes; and (5) may result in wider social harms. We consider counterarguments including efforts to increase safety on campus but find these are fraught with limitations and little scientific support. Finally, we discuss the policy relevance of our analysis for primary series COVID-19 vaccine mandates.
Stay tuned! More case studies and evidence coming.






The solution is right in front of our eyes, but not easy. Students should be informed and organized to “walk out” on mandates. Parents should stop paying tuition and yank them out of there. Take that time off to travel, find an internship or get a job! Better yet, spend time researching medical options-educate yourselves, de-program! A university has absolutely no right to impose medical mandates. If a student doesn’t understand that, then they don’t qualify for a “higher education”.
Thank you for this.